Introducción
La intoxicación por paraquat es un problema de salud pública debido a su alta toxicidad. Es un herbicida ampliamente utilizado en la agricultura, asociado con complicaciones graves, como la fibrosis pulmonar1. La patogénesis incluye procesos inflamatorios y de estrés oxidativo que llevan a un deterioro de la función pulmonar2. Provoca un daño celular importante a través de la generación de especies reactivas de oxígeno, que contribuyen al desarrollo de la fibrosis3. En el contexto colombiano, un estudio reciente ha abordado los desafíos que enfrenta el país en relación con las intoxicaciones por paraquat, destacando la necesidad urgente de mejorar las estrategias de prevención y manejo4. La alta incidencia de intoxicaciones ha hecho evidente la falta de medidas efectivas para proteger a las comunidades expuestas5. La respuesta inflamatoria y la fibrosis que resultan de la exposición al paraquat subrayan la importancia de comprender los mecanismos implicados en esta patología6,7. Los efectos incluyen una reducción en la capacidad respiratoria y una calidad de vida deteriorada8. Además, el manejo de esta intoxicación debe adaptarse a las características específicas de cada caso9. La literatura sugiere que las medidas de seguridad y educación son cruciales para reducir la exposición y el riesgo de intoxicación10. No obstante, la prevención sigue siendo un componente esencial. Las investigaciones sobre las vías de señalización y los mecanismos terapéuticos están en curso, y ofrecen esperanzas para el desarrollo de tratamientos más eficaces11.
Caso clínico
Varón de 17 años, sin antecedentes patológicos significativos, originario de Orito, Putumayo, en el sur de Colombia. El paciente ingresa con intoxicación aguda por paraquat (Gramoxone®) tras la ingestión voluntaria de aproximadamente 100 ml. Según el grado de intoxicación, se establece el pronóstico (Tabla 1). En este caso, la ingesta de 100 ml de paraquat, equivalentes a 20 g de paraquat, es decir, 289.86 mg/kg calculado con un peso de 69 kg, corresponde a una intoxicación grave con un 100% de mortalidad en 1 a 5 días11.
Tabla 1. Pronóstico según el grado de intoxicación por paraquat
| Grado de intoxicación | Cantidad de paraquat | Manifestaciones |
|---|---|---|
| Leve | < 10 ml al 20% P/V (< 20 mg/kg) | Síntomas gastrointestinales, falla renal leve Recuperación sin secuelas altamente probable en el 100% de los casos |
| Moderada-grave | 10-20 ml al 20% P/V (20 a 40 mg/kg) | Síntomas gastrointestinales, falla renal, hepatitis, fibrosis pulmonar, que suelen llevar a la muerte 30-60% de mortalidad luego del quinto día |
| Fulminante | > 20 ml al 20% P/V (> 40 mg/kg) | Falla multiorgánica de rápida instauración, choque o perforación del tracto gastrointestinal 100% de mortalidad en 1 a 5 días |
Adaptada de Marín y Berrouet11.
Al momento del ingreso, se realizaron medidas de descontaminación general. El tratamiento incluyó N- acetilcisteína (200 mg cada 6 horas por vía oral), prednisona (50 mg cada 24 horas por vía oral), enalapril (5 mg cada 12 horas) y terapia respiratoria (cada 8 horas), consistente en N-acetilcisteína más incentivo respiratorio. Además, se administraron formoterol/budesonida (4.5/160 µg cada 12 horas) y piperacilina-tazobactam (4 g cada 6 horas por vía intravenosa). Este esquema fue implementado para abordar las necesidades clínicas del paciente.
El paciente se encontraba en malas condiciones generales, con síntomas de disfagia, odinofagia, diaforesis, aleteo nasal y uso de músculos accesorios incluso en reposo absoluto. En la exploración física se evidenció enfisema en la axila izquierda y, a la auscultación, ruidos sobreagregados tipo roncus en ambos campos pulmonares. Los gases arteriales reportaron una acidosis metabólica compensada, con hipopotasemia leve, anión gap elevado e hipoglucemia. El índice PAFI disminuyó de manera consistente, indicando un deterioro progresivo en la oxigenación del paciente a lo largo del tiempo.
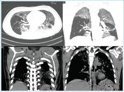
A lo largo de su estancia hospitalaria presentó elevación progresiva de azoados, con creatinina y nitrógeno ureico en sangre elevados, evidenciando falla renal con indicaciones de hemodiálisis. Las imágenes radiológicas iniciales no mostraron alteraciones respiratorias; sin embargo, en estudios posteriores se evidenció una alteración de la morfología pulmonar con atelectasias laminares basales bilaterales, engrosamiento peribronquial central y opacidades irregulares basales izquierdas sugestivas de ocupación alveolar (Fig. 1). La tomografía computarizada mostró consolidaciones parenquimatosas en las bases pulmonares con broncograma aéreo y opacidades alveolares con patrón de vidrio esmerilado en los lóbulos superiores, el lóbulo medio y la língula, lo que sugiere un proceso inflamatorio pulmonar (Fig. 2).
Figura 1. Hallazgos radiológicos. A: transparencia pleuropulmonar satisfactoria, sin evidencia de consolidaciones ni opacidades intersticiales o alveolares; espacios pleurales libres. B: atelectasias laminares basales bilaterales. C: opacidades intersticiales parahiliares y bibasales. D: opacidad basal izquierda que sugiere ocupación alveolar. E: imagen sugestiva de neumomediastino superior e inferior con extensión retroperitoneal; atelectasias subsegmentarias basales izquierdas; enfisema cervical bilateral y torácico izquierdo. F: engrosamiento peribronquial central asociado a opacidades irregulares basales izquierdas, que sugiere ocupación alveolar; enfisema axilar izquierdo.
Figura 2. Hallazgos tomográficos. A (1-2): consolidaciones parenquimatosas en las bases pulmonares con broncograma aéreo; opacidades alveolares con patrón de vidrio esmerilado en los lóbulos superiores, el lóbulo medio y la língula, que sugiere compromiso inflamatorio; considerar neumonía multilobar. B (1-2): hallazgos en el parénquima pulmonar que sugieren cambios por un proceso de tipo neumónico multilobar; correlacionar con antecedentes.
El paciente experimentó episodios de desaturación con una evolución tórpida que incluyó hipoxemia grave. Inicialmente requirió oxígeno suplementario con cánula de alto flujo, evolucionando luego a ventilación mecánica no invasiva. Debido al deterioro progresivo de la función respiratoria se procedió a intubación orotraqueal y ventilación mecánica invasiva. A pesar del manejo instaurado para retardar el daño pulmonar, el cuadro clínico se complicó con neumonía bacteriana y un deterioro marcado de la función respiratoria, requiriendo oxigenación de forma permanente.
El paciente fue considerado candidato para trasplante pulmonar debido a la insuficiencia respiratoria refractaria, la progresión del daño pulmonar a pesar del tratamiento óptimo y la falta de respuesta a la terapia convencional.
Discusión
El caso presentado subraya la gravedad de la intoxicación por paraquat y la necesidad de una mayor conciencia sobre los riesgos asociados con este herbicida. A pesar de los avances en la medicina, la mortalidad por intoxicación con paraquat sigue siendo alta. Se requieren esfuerzos coordinados para prevenir estas intoxicaciones y desarrollar nuevas terapias para mejorar el pronóstico de los pacientes afectados.
La intoxicación por paraquat representa un grave problema de salud pública, especialmente en comunidades agrícolas. En la literatura nacional e internacional se han reportado casos con presentaciones clínicas y desenlaces similares. Los estudios han documentado una alta mortalidad en pacientes con ingestas superiores a 20 mg/kg, con un deterioro progresivo de la función pulmonar y renal. Asimismo, se ha descrito el uso de estrategias terapéuticas como la inmunosupresión y la hemoperfusión, con variabilidad en los resultados clínicos.
En cuanto al trasplante pulmonar en pacientes con intoxicación por paraquat, existe una controversia significativa, en especial cuando el caso está relacionado con un intento suicida. Algunos reportes sugieren que estos pacientes pueden no ser candidatos óptimos debido al alto riesgo de recurrencia del intento suicida y la complejidad del procedimiento. Sin embargo, en otros casos se han documentado trasplantes exitosos en pacientes con insuficiencia respiratoria secundaria a intoxicación por paraquat, lo que genera un debate sobre los criterios de selección y la necesidad de evaluar cada caso de manera individualizada.
Conclusiones
Este caso de intoxicación aguda por paraquat en un paciente de 17 años muestra la alta toxicidad del herbicida y las graves complicaciones asociadas, incluyendo atelectasias, neumonía y daño pulmonar grave, junto con insuficiencia renal. A pesar del manejo intensivo, el paciente sufrió un deterioro progresivo de la función respiratoria y episodios de desaturación, complicados por neumonía bacteriana. Este caso destaca la necesidad urgente de mejorar la prevención y la educación sobre las intoxicaciones por paraquat, así como la importancia de intervenciones tempranas y tratamientos avanzados. La consideración para un trasplante pulmonar subraya la gravedad del daño y la necesidad de atención médica integral.
Financiamiento
Ninguno.
Conflicto de intereses
Los autores declaran no tener conflicto de intereses.
Consideraciones éticas
Protección de personas y animales. Los autores declaran que para esta investigación no se han realizado experimentos en seres humanos ni en animales.
Confidencialidad, consentimiento informado y aprobación ética. Los autores han seguido los protocolos de confidencialidad de su institución, han obtenido el consentimiento informado de los pacientes, y cuentan con la aprobación del Comité de Ética. Se han seguido las recomendaciones de las guías SAGER, según la naturaleza del estudio.
Declaración sobre el uso de inteligencia artificial. Los autores declaran que no utilizaron ningún tipo de inteligencia artificial generativa para la redacción de este manuscrito.
